×
Акции
Сервис
  • Ремонт УЗИ аппаратов
  • Ремонт мониторов пациента
  • Ремонт наркозных аппаратов
  • Ремонт ИВЛ аппаратов
  • Ремонт дефибрилляторов
  • Ремонт УЗИ датчиков
  • Ремонт операционных ламп (хирургических светильников)
  • Ремонт эндоскопического оборудования
  • Ремонт операционных столов
  • Ремонт компьютерных томографов
  • Ремонт рентген оборудования
  • Ремонт МРТ аппаратов
  • Ремонт маммографов
Обучение
Кейсы
Статьи
Комплексное оснащение
Компания
  • О компании
  • Новости
  • Отзывы
  • Карьера
  • Лицензии
  • Реквизиты
Контакты
    +7 (499) 495-48-21
    +7 (499) 495-48-21
    E-mail
    info@medford.ru
    Адрес
    • г. Москва, Ленинский пр-т, д.146
    • г. Екатеринбург ул. Малышева 51, офис 1907
    • г. Махачкала проспект Имама Шамиля 34г
    Режим работы
    Пн - Пт: с 9:00 до 19:00
    Медфорд
    От поставки до бесперебойной 
    работы медтехники
    iLivTouch
    Аппарат для эластографии печени
    iLivTouch
    Philips
    • Ультразвуковая диагностика
      Ультразвуковая диагностика
      • УЗИ аппараты
      • Датчики для УЗИ      
        • Конвексные датчики УЗИ
        • Линейные датчики УЗИ
        • Внутриполостные датчики УЗИ
        • Микроконвексные датчики УЗИ
        • Секторные фазированные датчики УЗИ
        • Карандашные УЗИ датчики
        • Чреспищеводные датчики УЗИ
      • Тележки для УЗИ
      • Принтеры для УЗИ
      • Источники бесперебойного питания
    • Гибкая эндоскопия
      Гибкая эндоскопия
      • Видеоэндоскопические системы
      • Эндоскопы      
        • Колоноскопы
        • Гистероскопы
        • Цистоскопы
        • Гастроскопы
        • Бронхоскопы
        • Энтероскопы
        • Уретроскопы
        • Дуоденоскопы
        • Холедохоскопы
        • Сигмоидоскопы
        • Риноларингоскопы
      • Видеопроцессоры
      • Мониторы эндоскопические
      • Источники света
      • Мойки для эндоскопов
      • Эндоскопические смотровые столы
      • Тележки эндоскопические
    • Жесткая эндоскопия
      Жесткая эндоскопия
      • Эндоскопические стойки
      • Мониторы для жесткой эндоскопии
      • Помпы для эндоскопических операций
      • Аспираторы-ирригаторы
      • Осветители эндоскопические
      • Видеопроцессоры для жесткой эндоскопии
      • Электрохирургические блоки для эндоскопии
      • Инсуффляторы
      • Лапароскопы
    • Лучевая диагностика
      Лучевая диагностика
      • Рентгеновские аппараты
      • Портативные рентген аппараты
      • Рентген аппараты типа С-дуга
      • Аппараты КТ
      • Маммографы
      • Ангиографы
      • Флюорографы
      • Денситометры
      • Дополнительное рентген оборудование      
        • Негатоскопы
        • Детекторы
        • Дозиметры радиации
        • Рентгеновская плёнка
        • Оцифровщики рентгеновских снимков
        • Рентгенопрозрачные столы
        • Проявочные машины для рентгеновских плёнок
        • Рентгенозащитные окна
        • Системы компьютерной радиографии
        • Мониторы для рентгенографии
        • Инжекторы для ангиографов
        • Инжекторы для КТ аппаратов
        • Термопринтеры рентгеновских снимков
    • Анестезиология и реанимация
      Анестезиология и реанимация
      • Наркозно-дыхательные аппараты
      • Аппараты ИВЛ
      • Мониторы пациента
      • Дефибрилляторы
      • Инфузионные насосы
      • Инкубаторы для новорождённых
      • Концентраторы кислорода
      • Дополнительное оборудование      
        • Компрессоры для НДА
        • Компрессоры для ИВЛ аппаратов
        • Испарители анестетиков
        • Небулайзеры для ИВЛ аппаратов
    • Хирургическое оборудование
      Хирургическое оборудование
      • Операционные столы
      • Отсасыватели хирургические
      • Операционные микроскопы
      • Светильники хирургические
      • Консоли хирургические
      • Аппараты электрохирургические
      • Эвакуаторы дыма
      • Лазеры хирургические
      • Ультразвуковые хирургические аппараты
    • ЛОР оборудование
      ЛОР оборудование
      • ЛОР-комбайны
      • ЛОР-кресла
      • Эндоскопы для оториноларингологии
      • ЛОР-видеосистемы
      • Аппараты ЭХВЧ для ЛОР
      • Дополнительное ЛОР оборудование      
        • Эхосинускопы
        • ЛОР микроскопы
        • ИК излучатели
        • УЗ ЛОР аппараты
        • ЛОР аспираторы
        • ЛОР ирригаторы
        • Налобные осветители
        • Массажеры
        • Ларингостробоскопы
        • ЛОР небулайзеры
        • Системы для исследования вестибулярного аппарата
        • Футляры для стерилизации
    • Магнитно-резонансная томография
      Магнитно-резонансная томография
      • Аппараты МРТ
      • Катушки для МРТ
      • Допоборудование для МРТ      
        • ИБП для МРТ аппаратов
        • Серверы хранения данных для МРТ аппаратов
        • Инжекторы для МРТ аппаратов
        • Мониторы пациента для МРТ
        • Программное обеспечение для МРТ аппаратов
    • Гинекологическое оборудование
      Гинекологическое оборудование
      • Кольпоскопы
      • Гинекологические кресла
      • Отсасыватели гинекологические
      • Гинекологические светильники
      • Гинекологические столы
      • Акушерские кровати
      • Фетальные мониторы
      • Гинекологические комбайны
      • Аппараты ЭХВЧ для гинекологии
      • Хирургические УЗ-аппараты
    • Ветеринарное оборудование
      Ветеринарное оборудование
      • Ветеринарные УЗИ аппараты      
        • Ветеринарные УЗИ датчики
      • Ветеринарная анестезиология и реанимация      
        • Наркозно-дыхательные аппараты ветеринарные
        • Ветеринарная инфузионная техника
        • Ветеринарные мониторы пациента
      • Ветеринарная лучевая диагностика      
        • Ветеринарные компьютерные томографы
        • Рентген аппараты для ветеринарии
      • Лабораторное оборудование для ветеринарии
      • Хирургическое оборудование для ветеринарии
      • Ветеринарные МРТ аппараты
      • Ветеринарная эндоскопия
    Каталог
    По всему сайту
    По каталогу
    Войти
    0 Сравнение
    0 Избранное
    0 Корзина
    УЗИ аппараты НДА ИВЛ Жесткая эндоскопия Гибкая эндоскопия Хирургическое оборудование Бренды
    iLivTouch Medford VET
    Медфорд
    Каталог
    По всему сайту
    По каталогу
    Войти
    0 Сравнение
    0 Избранное
    0 Корзина
    Медфорд
    Телефоны
    +7 (499) 495-48-21
    E-mail
    info@medford.ru
    Адрес
    • г. Москва, Ленинский пр-т, д.146
    • г. Екатеринбург ул. Малышева 51, офис 1907
    • г. Махачкала проспект Имама Шамиля 34г
    Режим работы
    Пн - Пт: с 9:00 до 19:00
    0
    0
    0
    • Кабинет
    • 0 Сравнение
    • 0 Избранное
    • 0 Корзина
    • Бренды
    • Акции
    • Сервис
      • Сервис
      • Ремонт УЗИ аппаратов
      • Ремонт мониторов пациента
      • Ремонт наркозных аппаратов
      • Ремонт ИВЛ аппаратов
      • Ремонт дефибрилляторов
      • Ремонт УЗИ датчиков
      • Ремонт операционных ламп (хирургических светильников)
      • Ремонт эндоскопического оборудования
      • Ремонт операционных столов
      • Ремонт компьютерных томографов
      • Ремонт рентген оборудования
      • Ремонт МРТ аппаратов
      • Ремонт маммографов
    • Компания
      • Компания
      • О компании
      • Новости
      • Отзывы
      • Карьера
      • Лицензии
      • Реквизиты
    • Статьи
    • Информация
      • Информация
      • Кейсы
      • Статьи
      • Новости
      • Отзывы
    • Контакты
    +7 (499) 495-48-21
    • Телефоны
    • +7 (499) 495-48-21
    • info@medford.ru
      • г. Москва, Ленинский пр-т, д.146
      • г. Екатеринбург ул. Малышева 51, офис 1907
      • г. Махачкала проспект Имама Шамиля 34г
    • Пн - Пт: с 9:00 до 19:00
    Главная
    Опции
    Основные режимы сканирования. Краткое описание

    Основные режимы сканирования. Краткое описание

    Основные режимы сканирования. Краткое описание
    Опции

    Краткое описание основных режимов сканирования ультразвукового диагностического аппарата

    При приобретении любого ультразвукового диагностического прибора, вне зависимости от компании-производителя и модели, одним из первых вопросов является перечень поддерживаемых (и включенных в базовой комплект поставки) режимов сканирования. Данный перечень определяется как наличием (или отсутствием) аппаратной поддержки того или иного режима, так и маркетинговой политикой продаж компаний-производителей.


    Ниже мы приведем краткий перечень основных базовых режимов, которые необходимы для «рутинной» работы в современном кабинете ультразвуковой диагностики. На сегодняшний день, разве что за редким исключением, все описываемые режимы включаются в базовый комплект поставки прибора и не требуют ни дополнительной активации ни дополнительной оплаты со стороны покупателя. Исключением является режим постоянного-волнового допплера (CW), поскольку данный режим имеет довольно специализированное применение и используется с определенного вида датчиками, то его приобретают отдельно, в том случае, если такой режим необходим в практике применения ультразвукового прибора.

    B-режим

    В-режим (B – brightness) – режим двумерного серошкального сканирования. Является основным режимом для получения диагностической визуализации органов, тканей, стенок сосудов и внутрипросветного содержимого. Получение изображения в B-режиме основано на эффекте отражения ультразвука от границ сред исследуемой области: прибор УЗД анализирует амплитуду и фазу отраженного эхосигнала, данная информация участвует в процессе построения изображения (которое в последствии выводится на экран прибора) и обуславливает яркость свечения и положение пикселя на диагностическом изображении.


    2fdc8fca1c64796bbde108588b076e1887733816 (1).jpg


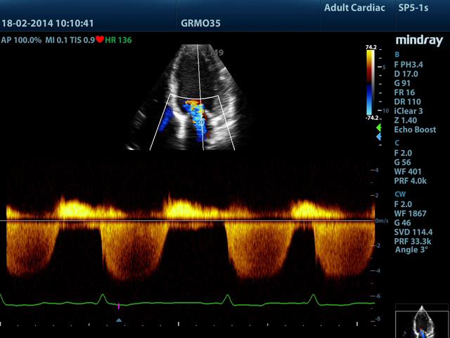
    CW – режим постоянно-волнового допплера (непрерывноволновой допплер)

    Постоянно-волновой допплер (continuous wave Doppler – CW) в истории допплеровской эхографии является первым используемым методом. Для использования данного режима применяются специализированные датчики: двухэлементные CW-датчики карандашного типа (pencil probe) и дуплесные датчики, которые могут работать в B-режиме.


    Режим CW, в силу физических принципов работы, не имеет ограничений по скорости и глубине, но, в тоже время, он не имеет и пространственного разрешения. Режим CW имеет особую ценность при исследованиях высокоскоростных потоков в области стенозов артерий, артериовенозных шунтов, исследованиях сердца.


    ff41e97b5f8138f7a125560a2fe53d1c60e233d4.jpg


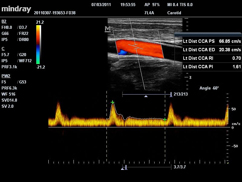
    PW – режим импульсно-волнового допплера

    Режим импульсно волнового допплера (pulse wave Dopper – PW) – режим, работая в котором мы пытаемся избавится от главного недостатка режима CW, а именно отсутствия пространственного разрешения (разрешающей способности по глубине). Импульсные сигналы (короткие по времени) позволяют оценить отдельные зоны по глубине, поэтому в процессе работы на ультразвуковом приборе нам необходимо выбрать зону интереса (окно опроса). Конечно же и здесь не обошлось без недостатков – главным недостатком использования режима импульсно-волнового допплера является строгое ограничение по измерению больших скоростей на больших глубинах сканирования.


    6151b02ec584d67b38dddf69bc0955ec89f95561.jpg


    CFM (CDI, CDV, CD, CF, ЦДК и т.д.) – режим цветового допплеровского картирования по скорости

    В режиме цветового допплеровского картирования по скорости (ЦДК) изображение строится также как и в B-режиме. Отличительной особенностью режима ЦДК является цветовое отображение информации о скорости и направлении движения структур в выделенной пользователем области (окно опроса). Режим ЦДК обладает ярко выраженной зависимостью от величины допплеровского угла.


    d8ed0e61a63ea3510f2186998867c073d4e18264.jpg


    PDI (CDE, CPA, PDF, PD, PF, ЭДК и т.д.) – режим ЦДК «энергии» допплеровского спектра

    Режим «энергетического» допплера является модификацией режима ЦДК и отличается от него тем, что режим ЭДК отражает движение в исследуемой области и его интенсивность, но информация о скорости и направлении при этом отсутствует. Режим ЭДК обладает практически полной независимостью от величины допплеровского угла.


    Основное преимущество данного метода состоит в том, что режим ЭДК позволяет кодировать низкоскоростные потоки с значительно более высоким качеством, нежели в режиме ЦДК. Основной недостаток – большая чувствительность к любому движению, как датчика, так и исследуемой структуры.


    1.jpg


    dPDI (dCDE, dPF и т.д.) – режим направленного энергетического допплера

    Режим ЭДК в котором возможно информативное цветовое отображение разнонаправленных низкоскоростных потоков близко расположенных сосудов. Подобная визуализация невозможна при исследованиях в режиме ЦДК.


    2.jpg


    Дополнительно

    Дополнительная вкладка, для размещения информации о статьях, доставке или любого другого важного контента. Поможет вам ответить на интересующие покупателя вопросы и развеять его сомнения в покупке. Используйте её по своему усмотрению.

    Вы можете убрать её или вернуть обратно, изменив одну галочку в настройках компонента. Очень удобно.

    • Комментарии
    Загрузка комментариев...
    Назад к списку
    • Все публикации 57
      • Интервью 4
      • Оборудование 12
      • Опции 16
      • Про клиники 4
      • Сервис 21
    Подпишитесь на рассылку наших новостей и акций
    Подписаться
    Подписаться
    на новости и акции
    Связаться с нами
    +7 (499) 495-48-21
    +7 (499) 495-48-21
    E-mail
    info@medford.ru
    Адрес
    • г. Москва, Ленинский пр-т, д.146
    • г. Екатеринбург ул. Малышева 51, офис 1907
    • г. Махачкала проспект Имама Шамиля 34г
    Режим работы
    Пн - Пт: с 9:00 до 19:00
    info@medford.ru
    • г. Москва, Ленинский пр-т, д.146
    • г. Екатеринбург ул. Малышева 51, офис 1907
    • г. Махачкала проспект Имама Шамиля 34г
    Категории
    Каталог
    Акции
    Бренды
    Сервис
    Оснащение медицинского кабинета
    Компания
    О компании
    Новости
    Отзывы
    Карьера
    Лицензии
    Реквизиты
    Информация
    Кейсы
    Статьи
    Новости
    Отзывы
    Помощь
    Условия оплаты
    Условия доставки
    Гарантия на товар
    Вопрос-ответ
    © 2026 Medford.ru
    Конфиденциальность
    Оферта
    Главная Каталог 0 Корзина 0 Избранные Кабинет 0 Сравнение Акции Контакты Услуги Бренды Отзывы Компания Лицензии Документы Реквизиты Блог Обзоры