×
Акции
Сервис
  • Ремонт УЗИ аппаратов
  • Ремонт мониторов пациента
  • Ремонт наркозных аппаратов
  • Ремонт ИВЛ аппаратов
  • Ремонт дефибрилляторов
  • Ремонт УЗИ датчиков
  • Ремонт операционных ламп (хирургических светильников)
  • Ремонт эндоскопического оборудования
  • Ремонт операционных столов
  • Ремонт компьютерных томографов
  • Ремонт рентген оборудования
  • Ремонт МРТ аппаратов
  • Ремонт маммографов
Обучение
Кейсы
Статьи
Комплексное оснащение
Компания
  • О компании
  • Новости
  • Отзывы
  • Карьера
  • Лицензии
  • Реквизиты
Контакты
    +7 (499) 495-48-21
    +7 (499) 495-48-21
    E-mail
    info@medford.ru
    Адрес
    • г. Москва, Ленинский пр-т, д.146
    • г. Екатеринбург ул. Малышева 51, офис 1907
    • г. Махачкала проспект Имама Шамиля 34г
    Режим работы
    Пн - Пт: с 9:00 до 19:00
    Медфорд
    От поставки до бесперебойной 
    работы медтехники
    iLivTouch
    Аппарат для эластографии печени
    iLivTouch
    Philips
    • Ультразвуковая диагностика
      Ультразвуковая диагностика
      • УЗИ аппараты
      • Датчики для УЗИ      
        • Конвексные датчики УЗИ
        • Линейные датчики УЗИ
        • Внутриполостные датчики УЗИ
        • Микроконвексные датчики УЗИ
        • Секторные фазированные датчики УЗИ
        • Карандашные УЗИ датчики
        • Чреспищеводные датчики УЗИ
      • Тележки для УЗИ
      • Принтеры для УЗИ
      • Источники бесперебойного питания
    • Гибкая эндоскопия
      Гибкая эндоскопия
      • Видеоэндоскопические системы
      • Эндоскопы      
        • Колоноскопы
        • Гистероскопы
        • Цистоскопы
        • Гастроскопы
        • Бронхоскопы
        • Энтероскопы
        • Уретроскопы
        • Дуоденоскопы
        • Холедохоскопы
        • Сигмоидоскопы
        • Риноларингоскопы
      • Видеопроцессоры
      • Мониторы эндоскопические
      • Источники света
      • Мойки для эндоскопов
      • Эндоскопические смотровые столы
      • Тележки эндоскопические
    • Жесткая эндоскопия
      Жесткая эндоскопия
      • Эндоскопические стойки
      • Мониторы для жесткой эндоскопии
      • Помпы для эндоскопических операций
      • Аспираторы-ирригаторы
      • Осветители эндоскопические
      • Видеопроцессоры для жесткой эндоскопии
      • Электрохирургические блоки для эндоскопии
      • Инсуффляторы
      • Лапароскопы
    • Лучевая диагностика
      Лучевая диагностика
      • Рентгеновские аппараты
      • Портативные рентген аппараты
      • Рентген аппараты типа С-дуга
      • Аппараты КТ
      • Маммографы
      • Ангиографы
      • Флюорографы
      • Денситометры
      • Дополнительное рентген оборудование      
        • Негатоскопы
        • Детекторы
        • Дозиметры радиации
        • Рентгеновская плёнка
        • Оцифровщики рентгеновских снимков
        • Рентгенопрозрачные столы
        • Проявочные машины для рентгеновских плёнок
        • Рентгенозащитные окна
        • Системы компьютерной радиографии
        • Мониторы для рентгенографии
        • Инжекторы для ангиографов
        • Инжекторы для КТ аппаратов
        • Термопринтеры рентгеновских снимков
    • Анестезиология и реанимация
      Анестезиология и реанимация
      • Наркозно-дыхательные аппараты
      • Аппараты ИВЛ
      • Мониторы пациента
      • Дефибрилляторы
      • Инфузионные насосы
      • Инкубаторы для новорождённых
      • Концентраторы кислорода
      • Дополнительное оборудование      
        • Компрессоры для НДА
        • Компрессоры для ИВЛ аппаратов
        • Испарители анестетиков
        • Небулайзеры для ИВЛ аппаратов
    • Хирургическое оборудование
      Хирургическое оборудование
      • Операционные столы
      • Отсасыватели хирургические
      • Операционные микроскопы
      • Светильники хирургические
      • Консоли хирургические
      • Аппараты электрохирургические
      • Эвакуаторы дыма
      • Лазеры хирургические
      • Ультразвуковые хирургические аппараты
    • ЛОР оборудование
      ЛОР оборудование
      • ЛОР-комбайны
      • ЛОР-кресла
      • Эндоскопы для оториноларингологии
      • ЛОР-видеосистемы
      • Аппараты ЭХВЧ для ЛОР
      • Дополнительное ЛОР оборудование      
        • Эхосинускопы
        • ЛОР микроскопы
        • ИК излучатели
        • УЗ ЛОР аппараты
        • ЛОР аспираторы
        • ЛОР ирригаторы
        • Налобные осветители
        • Массажеры
        • Ларингостробоскопы
        • ЛОР небулайзеры
        • Системы для исследования вестибулярного аппарата
        • Футляры для стерилизации
    • Магнитно-резонансная томография
      Магнитно-резонансная томография
      • Аппараты МРТ
      • Катушки для МРТ
      • Допоборудование для МРТ      
        • ИБП для МРТ аппаратов
        • Серверы хранения данных для МРТ аппаратов
        • Инжекторы для МРТ аппаратов
        • Мониторы пациента для МРТ
        • Программное обеспечение для МРТ аппаратов
    • Гинекологическое оборудование
      Гинекологическое оборудование
      • Кольпоскопы
      • Гинекологические кресла
      • Отсасыватели гинекологические
      • Гинекологические светильники
      • Гинекологические столы
      • Акушерские кровати
      • Фетальные мониторы
      • Гинекологические комбайны
      • Аппараты ЭХВЧ для гинекологии
      • Хирургические УЗ-аппараты
    • Ветеринарное оборудование
      Ветеринарное оборудование
      • Ветеринарные УЗИ аппараты      
        • Ветеринарные УЗИ датчики
      • Ветеринарная анестезиология и реанимация      
        • Наркозно-дыхательные аппараты ветеринарные
        • Ветеринарная инфузионная техника
        • Ветеринарные мониторы пациента
      • Ветеринарная лучевая диагностика      
        • Ветеринарные компьютерные томографы
        • Рентген аппараты для ветеринарии
      • Лабораторное оборудование для ветеринарии
      • Хирургическое оборудование для ветеринарии
      • Ветеринарные МРТ аппараты
      • Ветеринарная эндоскопия
    Каталог
    По всему сайту
    По каталогу
    Войти
    0 Сравнение
    0 Избранное
    0 Корзина
    УЗИ аппараты НДА ИВЛ Жесткая эндоскопия Гибкая эндоскопия Хирургическое оборудование Бренды
    iLivTouch Medford VET
    Медфорд
    Каталог
    По всему сайту
    По каталогу
    Войти
    0 Сравнение
    0 Избранное
    0 Корзина
    Медфорд
    Телефоны
    +7 (499) 495-48-21
    E-mail
    info@medford.ru
    Адрес
    • г. Москва, Ленинский пр-т, д.146
    • г. Екатеринбург ул. Малышева 51, офис 1907
    • г. Махачкала проспект Имама Шамиля 34г
    Режим работы
    Пн - Пт: с 9:00 до 19:00
    0
    0
    0
    • Кабинет
    • 0 Сравнение
    • 0 Избранное
    • 0 Корзина
    • Бренды
    • Акции
    • Сервис
      • Сервис
      • Ремонт УЗИ аппаратов
      • Ремонт мониторов пациента
      • Ремонт наркозных аппаратов
      • Ремонт ИВЛ аппаратов
      • Ремонт дефибрилляторов
      • Ремонт УЗИ датчиков
      • Ремонт операционных ламп (хирургических светильников)
      • Ремонт эндоскопического оборудования
      • Ремонт операционных столов
      • Ремонт компьютерных томографов
      • Ремонт рентген оборудования
      • Ремонт МРТ аппаратов
      • Ремонт маммографов
    • Компания
      • Компания
      • О компании
      • Новости
      • Отзывы
      • Карьера
      • Лицензии
      • Реквизиты
    • Статьи
    • Информация
      • Информация
      • Кейсы
      • Статьи
      • Новости
      • Отзывы
    • Контакты
    +7 (499) 495-48-21
    • Телефоны
    • +7 (499) 495-48-21
    • info@medford.ru
      • г. Москва, Ленинский пр-т, д.146
      • г. Екатеринбург ул. Малышева 51, офис 1907
      • г. Махачкала проспект Имама Шамиля 34г
    • Пн - Пт: с 9:00 до 19:00
    Главная
    Опции
    V Flow (Vector Flow) – новейшая технология визуализация кровотока, реализованная на платформе ZST+

    V Flow (Vector Flow) – новейшая технология визуализация кровотока, реализованная на платформе ZST+

    V Flow (Vector Flow) – новейшая технология визуализация кровотока, реализованная на платформе ZST+
    Опции

    Введение

    Режим цветового допплеровского картирования (ЦДК) критически важен в современной ультразвуковой диагностике. Скорость кровотока рассчитывается методом автокорреляции данных акустического сигнала, используя специфическое фильтрование принимаемых сигналов. Данные о скорости частиц относительно направления распространения ультразвуковых лучей обрабатываются ультразвуковой системой для обнаружения ламинарного потока крови. Типичным примером является кровоток в сонной артерии – максимальная скорость может быть рассчитана путем коррекции угла к полученным данным. Данные о максимальной скорости кровотока в момент систолы широко используют для диагностики и поиска артериальных бляшек.

    Однако сердечно-сосудистая система человека насыщена сложными участками, где кровоток принимает не только ламинарную форму. Например, в случае исследований при бифуркации и образовании вихревых токов крови. Такие сложные потоки не могут быть определены с помощью традиционного режима ЦДК, поскольку он измеряет одномерную скорость в сосудистом русле. Более того, зачастую режим ЦДК может регистрировать аномальные изменения параметров скорости ламинарного кровотока только в случаях значительного перекрытия русла сосуда бляшкой. Для исследования кровотока в искривленных сосудах и патологических случаях требуется новый метод, способный регистрировать мельчайшие изменения скорости направления движений частиц крови по сосуду с учетом всех анатомических особенностей его русла.

    Технология V Flow способна динамически визуализировать кровоток в виде векторов движения частиц крови. Метод имеет высокую точность и применим на любом участке сосудистого русла без ограничений.

    Ограничения режима ЦДК

    При работе в режиме ЦДК ультразвуковые лучи сканируют отмеченную пользователем область интереса. Для получения цветовой визуализации на экране прибора требуется несколько циклов приема-передачи для обнаружения тока крови и достижения приемлемой точности измерения скорости. Количество подобных циклов зависит от размера сканируемой области и, в среднем, составляет от 8 до 16, а итоговое цветовое изображение является неким компромиссом между точностью измерения скорости и частотой кадров в режиме ЦДК.


    Рис. 1 Последовательность сканирования в режиме ЦДК


    При увеличении параметра частоты повторения импульсов (PRF) повышается предел измерения скорости кровотока и увеличивается частота кадров в режиме ЦДК. Однако предел увеличения PRF имеет существенное ограничение по глубине сканирования, поскольку эхосигнал должен проникнуть на глубину исследуемой области, отразиться и вернуться назад в пределах одного цикла. Например, при исследовании на сонной артерии, расположенной на глубине от 4 до 5 см. максимальное значение PRF составляет примерно 15 кГц (формула расчета PRF = 1/ (глубина_сканирования х 2 / С), где С – средняя скорость ультразвука в биологических тканях (1540 м/с)). Если размер регистрируемой области принять равным 10, то частота кадров будет равна примерно 15 Гц для изображения, состоящего из 100 линий. Описанный процесс также проиллюстрирован на рисунке 1. Дальнейшее увеличение параметра PRF приведет к критически низкому временному разрешению сканирования, что недопустимо для исследования на артериях с высокой скоростью кровотока. Что, в свою очередь, значительно затрудняет диагностику в случае стеноза сонной артерии.

    Другим недостатком классического режима ЦДК является то, что временной интервал каждой итерации формирования строки изображения критически велик и, поскольку изображение формируется последовательно строка за строкой, то каждая сформированная строка изображения фактически обозначает скорость в разный момент времени.

    Принцип работы технологии V Flow (Vector Flow)

    Благодаря кардинально иному принципу формирования ультразвуковых кадров (технология зонного сканирования ZST+) и высокой аппаратной мощности прибора Mindray Resona 7 при однократном цикле приема-передачи сигнала может быть получено несколько строк изображения. Поскольку полученные строки отражают информацию о скорости частиц крови в один временной период, то исчезает необходимость программной синхронизации данных, что позволяет применять фильтрацию данных в режиме реального времени для удаления помех.


    vflow_2.jpg


    Для того чтобы получить направленный вектор скорости кровотока в любой его точке используются множество разнонаправленных циклов приема-передачи эхосигнала (Рисунок 2). Затем скорость (величина вектора скорости) рассчитывается с помощью метода, изображенного на рисунке 3. Благодаря множественному разнонаправленному сканированию, в каждой исследуемой точке кровотока ультразвуковая система получает вектора скорости в плоскости каждой итерации цикла приема-передачи эхосигнала. Истинный вектор скорости вычисляется путем компаундинга и регрессионного анализа полученных данных. Кроме того, поскольку платформа ZST+ хранит дамп оригинального эхосигнала, то он же используется для формирования изображения в B-режиме, что делает возможным как высокочувствительную регистрацию потока, так и высокое разрешение серошкального изображения.


    vflow_3.jpg

    Новый метод отображения кровотока на экране ультразвукового прибора

    Для того, чтобы сделать новый метод визуализации интуитивно понятным и легким для интерпретации, сотрудники Mindray создали новый метод отображения кровотока на экране ультразвукового прибора. Поскольку технология V Flow позволяет получить информацию о скорости и направлении движении частиц крови в сосудистом русле в любой момент времени, то и движение частиц крови на экране прибора может быть проиллюстрировано в режиме реального времени, и более того, данные потока крови в русле сосуда могут отображаться в большем временном разрешении, чем в режиме реального времени. Подобная визуализация достигается с помощью сверхвысокой частоты кадров (до 400 Гц), поэтому прибором регистрируются сложные частные случаи потока с чрезвычайно высокой скоростью. Таким образом, ультразвуковой прибор может визуализировать в замедленном виде (с высокой частотой кадров) движение отдельных частиц крови по всему сосудистому руслу в таких сложных случаях как турбулентные, вторичные, вихревые и любые другие потоки.


    vflow_4_1.jpg

    Преимущества использования технологии V Flow

    • Чрезвычайно высокая скорость визуализации с частотой кадров более 600 кадров/сек.

    • Метод высокоточно визуализирует как скорость, так и направление кровотока в любой части сосудистого русла.

    • Ламинарные, вихревые, турбулентные, вторичные, ретроградные и любые виды кровотока могут быть визуализированы, даже в самых сложных клинических случаях.

    • Метод визуализации интуитивно понятен и состоит из массива цветных стрелок, которые демонстрируют скорость и направление движения частиц крови.

    • Возможность количественных измерений в любом месте кровотока.

    Примеры из клинической практики применения режима V Flow

    На изображениях, приведенных ниже показаны примеры из клинической практики врачей ультразвуковой диагностики, полученные в процессе апробирования прибора Mindray Resona 7. Приводится наглядные примеры сравнения традиционного режима ЦДК и режима V Flow (Vector Flow).

    vflow_5_1.jpg   vflow_5_2.jpg

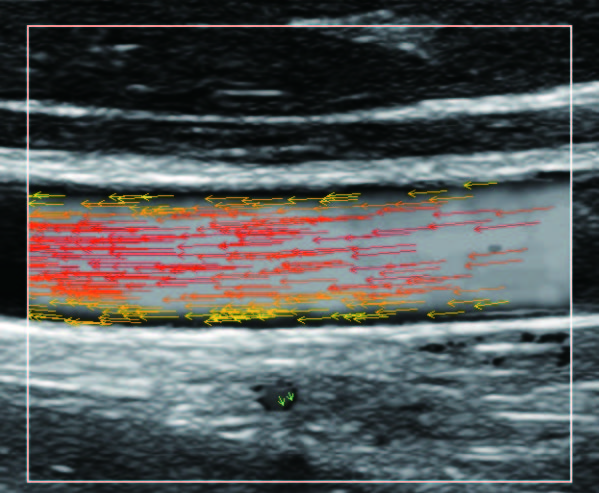
    Изображен ламинарный поток сонной артерии. В режиме ЦДК отсутствует информация о профиле ламинарного потока. Режим V Flow визуализирует не только скоростные характеристики с помощью цветных стрелок, но и предоставляет данные о профиле ламинарного потока (быстрый поток в центре и медленный вблизи стенок сосуда).


    vflow_6_1.jpg   vflow_6_2.jpg

    Изображена яремная вена и бифуркация сонной артерии. CAA, ICA и ECA показаны на одном изображении. В режиме ЦДК отсутствует подробная гемодинамика. В режиме V Flow отображаются данные о скорости и направлении движения частиц крови во всей зоны интереса, включая изменения характеристик кровотока в сонной артерии и яремной вене.

    Заключение

    Клинические исследования демонстрируют, что метод визуализации кровотока F Vlow (Vecor Flow) предоставляет несравнимо большее количество полезной диагностической информации в сравнении с классическим режимом цветового допплеровского картирования. Есть все основания полагать, что дальнейшие клинические исследования подчеркнут реальную клиническую ценность использования нового метода визуализации кровотока, а также откроет новые перспективы для исследований патологий сосудов.

    Благодарности

    Профессору Alfred CH Yu и Billy YS Tiu из Университета Гонконга (the Univerity of HongKong (HKU)) за неоценимую помощь в создании технологии векторной визуализации кровотока.

    Дополнительно

    Дополнительная вкладка, для размещения информации о статьях, доставке или любого другого важного контента. Поможет вам ответить на интересующие покупателя вопросы и развеять его сомнения в покупке. Используйте её по своему усмотрению.

    Вы можете убрать её или вернуть обратно, изменив одну галочку в настройках компонента. Очень удобно.

    • Комментарии
    Загрузка комментариев...
    Назад к списку
    • Все публикации 57
      • Интервью 4
      • Оборудование 12
      • Опции 16
      • Про клиники 4
      • Сервис 21
    Подпишитесь на рассылку наших новостей и акций
    Подписаться
    Подписаться
    на новости и акции
    Связаться с нами
    +7 (499) 495-48-21
    +7 (499) 495-48-21
    E-mail
    info@medford.ru
    Адрес
    • г. Москва, Ленинский пр-т, д.146
    • г. Екатеринбург ул. Малышева 51, офис 1907
    • г. Махачкала проспект Имама Шамиля 34г
    Режим работы
    Пн - Пт: с 9:00 до 19:00
    info@medford.ru
    • г. Москва, Ленинский пр-т, д.146
    • г. Екатеринбург ул. Малышева 51, офис 1907
    • г. Махачкала проспект Имама Шамиля 34г
    Категории
    Каталог
    Акции
    Бренды
    Сервис
    Оснащение медицинского кабинета
    Компания
    О компании
    Новости
    Отзывы
    Карьера
    Лицензии
    Реквизиты
    Информация
    Кейсы
    Статьи
    Новости
    Отзывы
    Помощь
    Условия оплаты
    Условия доставки
    Гарантия на товар
    Вопрос-ответ
    © 2026 Medford.ru
    Конфиденциальность
    Оферта
    Главная Каталог 0 Корзина 0 Избранные Кабинет 0 Сравнение Акции Контакты Услуги Бренды Отзывы Компания Лицензии Документы Реквизиты Блог Обзоры